CASO 1
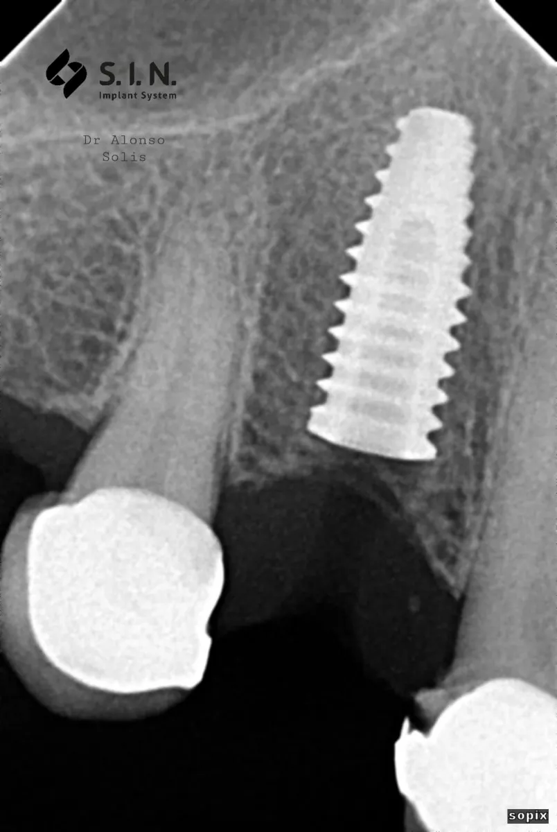
Paciente femenina de 56 años, se presenta a la consulta con puente dental desajustado, con restos alimenticios impactados, se decide realizar un corte de la estructura metálica-porcelana, para conservar piezas restauradas adyacentes, y se coloca un implante dental Marca SIN Implant, realizando provisional para carga inmediata, se espera el proceso de Osteointegración de 4 meses, se observa perfil de emergencia gingival apto, y se procede con la colocación de la corona en Zirconio.
Caso 2
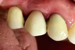
Paciente femenina, 19 años, con agenesia dental (ausencia de piezas de nacimiento), se realiza colocación de 2 implantes en piezas laterales, confección de provisionales y se esperan 4 meses para la colocación de piezas permanentes sobre implantes.
Caso 3
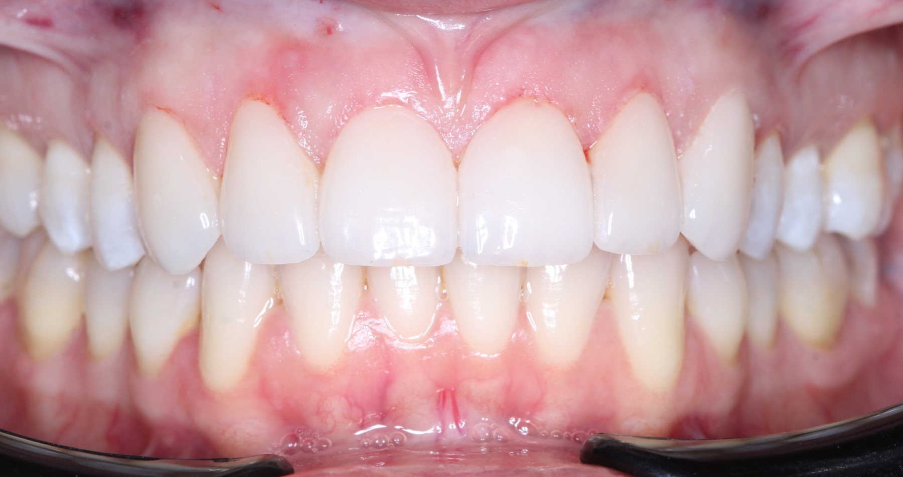
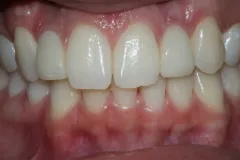
Se realizan 6 carillas dentales en Emax, mejorando frente estético, y funcion masticatoria.
Caso 4
Paciente masculino 65 años, presenta Periodontitis Crónica Generalizada, se realiza extracciones totales de piezas superiores, se colocan 4 implantes dentales para sobredentadura, 4 meses después paciente disfruta de una nueva y renovada sonrisa, sin necesidad de retirársela, ni de preocupaciones de que la prótesis se le desplace al comer o hablar.
Caso 5
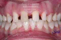
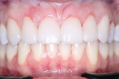
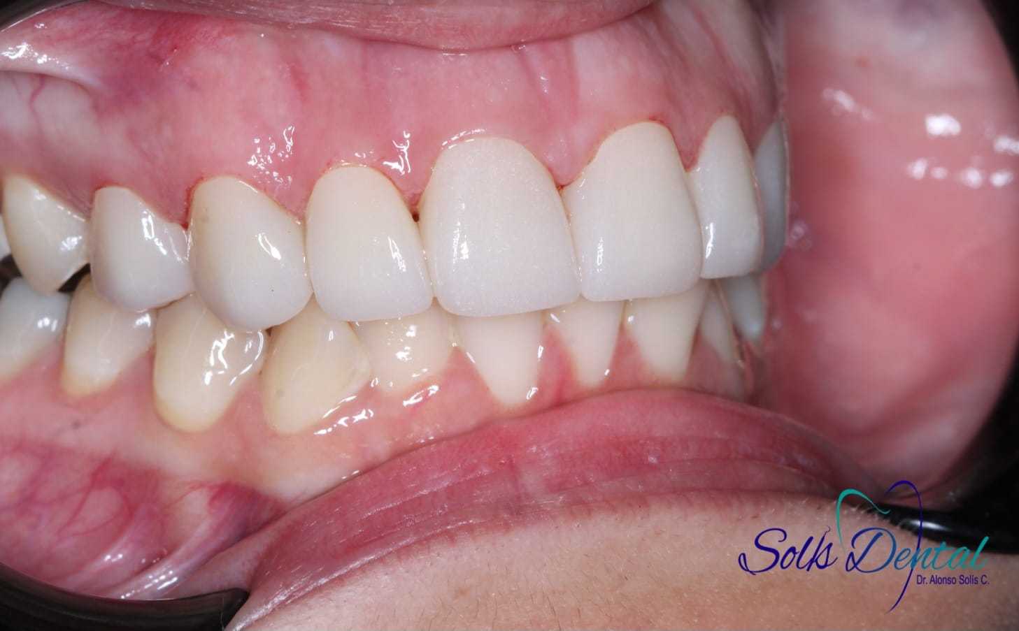
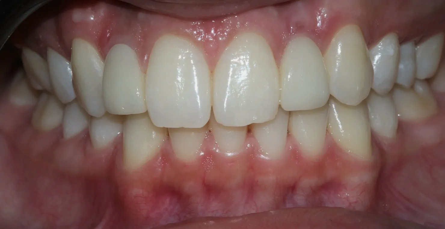
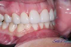
Se realizan Coronas dentales en Ziconio para mayor resistencia,mejorar armonia y estética, en piezas con resinas desajustadas y caries recidivas.
